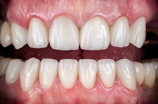
Veneers / skallfasetter
Veneers eller en skallfasett er en mulig løsning for å hjelpe deg med å oppnå det utseendet du ønsker.
Hva er veneers / skallfasetter?
Veneers eller skallfasetter er en av flere måter å gjenopprette tapt tannsubstans og er et populært valg for de med flisete tenner, gap mellom tennene eller misformede tenner. Veneers er tynne, håndlagde porselens-fasader som limes på tennene for å gi tennene det utseende man ønsker.
Non-prep veneers er en ny og moderne teknikk, hvor man kan lime på porselensfasader på tennene uten å bore/ slipe bort tannsubstans først.
Vi tilbyr en rekke alternativer for deg som ønsker denne type behandlingen:
- ABC- behandling
- Non-prep komposittfasett
- Edge-bonding med fylling
Snakk med tannlegen om hva som er best for deg.
Hva kan veneers brukes til?
Veneers er tynne deksler som blir plassert og limt over den fremre (synlige) delen av tannen. De ser ut som naturlige tenner.
Skallfasett kan brukes til å rette opp et bredt spekter av tannproblemer, for eksempel tenner med flekker som ikke kan blekes, flisete eller slitte tenner, skjeve eller misformede tenner, ujevne mellomrom eller et stort gap mellom fortennene.
Venners er laget av enten porselen eller komposittmateriale. Tannlegen din vil hjelpe deg med å velge det materialet som er best for deg. De ulike typene Skallfasetter Uten Sliping har sine fordeler og ulemper. Vi hjelper deg med å velge rett type for deg.
3 typer veneers / skallfasetter
Porselen
En veneer kan lages av et tynt skall av porselen som er skreddersydd for å passe til dine tenner av en tanntekniker.
Fordeler med veneers laget av porselen er at de er sterke og langvarige, de har en naturlig overflate, og mindre tannemalje må fjernes enn med en krone.
Porselensoverflaten vil heller ikke ta til seg misfarging.
Kompositt
En fasade laget av kompositt, et fyllingsmateriale laget av plastikk.
Vanligvis må mindre eller ingen tannsubstans fjernes. Noen typer komposittfasetter krever derfor kun ett besøk hos tannlegen.
Komposittfasetter er en rimeligere løsning, men krever noe mer vedlikehold gjennom årene enn porselensfasetter.
Veneers av kompositt er generelt ikke like sterke som skallfasett laget av porselen, men de kan repareres raskt og enkelt.
Non-prep / uten sliping
Å forbedre smilet ditt krever ikke alltid store endringer.
Våre non-prep veneers er et flott alternativ for et lysere, hvitere smil som kan vare i mange år, opptil tjue år.
Dessuten så krever den ikke bedøvelse og kun minimal eller ingen justering av dine tenner.
Slik lages veneers / skallfasetter
Prosessen for skallfasetter er slik:
- For å forberede tennene fjerner tannlegen vanligvis en liten mengde emalje fra forsiden og sidene av tennene. Dette gir plass til fasettene slik at resultatet ser naturlig ut.
- Tannlegen gjør deretter en avstøpning av de forberedte tennene.
- Sammen med deg velger tannlegen ut en farge som passer til deg, din tannfarge og alder.
- Avstøpet sendes til et tannlaboratorium som skreddersyr veneers slik at de passer til tennene dine. Dette kan ta noen dager.
- Tannlegen gir deg midlertidige fasetter som du bruker i mellomtiden.
- Ved neste besøk plasserer tannlegen veneers på tennene for å kontrollere passform og form.
- Etter eventuelle justeringer blir tennene renset og fasettene blir limt til tannen.
Fremgangsmåte med kompositt
Etter at tennene er klargjort og vasket binder tannlegen nøye og skulpturerer komposittmaterialet i en farge som er best egnet for deg.
Et spesielt lys brukes til å herde kompositten og binder den til tennene. Skallfasetten er glatt og polert for å se ut som naturlige tenner.
Man skal ikke se overgangen mellom din naturlige tann og det materialet som er limt på etter denne behandlingen.
Hvorfor velge non-prep veneers?
Det er en flott alternativ for de med mindre tenner, naturlig mellomrom mellom tennene eller misfarging.
Hvis du ikke er fornøyd med resultatene eller føler for en forandring, kan prosessen snus – selv om vi er sikre på at du vil elske det nye smilet ditt.
Vi tilbyr en rekke non-prep veneers for å gi deg de beste resultatene.
Fra ultratynne til litt tykkere alternativer for å imøtekomme en rekke behov, våre non-prep venners kan gi deg selvtilliten til å føle deg hjemme i ditt eget smil.
Enten du sliter med misfarging, ujevne tenner gjennom sliping eller små hull mellom tennene, kan non-prep veneers være den ideelle løsningen.
La vår tannlege ta en vurdering og gi deg en individuell behandlingsplan.
- Ingen forpliktelser
Hvordan fungerer non-prep?
I likhet med tradisjonelle skallfasetter, er non-prep veneers montert på tannens overflate for å forbedre tennens estetikk.
Den viktigste forskjellen er at non-prep veneers ikke krever at det slipes eller gjøres skade på de naturlige tennene.
I noen tilfeller kan non-prep veneers plasseres på tannens overflate uten å justere på emaljen i det hele tatt.
I andre tilfeller vil noen pasienter trenge små justeringer på tennene før non-prep veneers kan monteres.
Hvis du ønsker å finne ut mer om det enkle, smertefrie, tannsubstans besparende behandlingsmåten – hvorfor ikke kontakte teamet vårt i dag?
Vi tilbyr konsultasjon og vil mer enn gjerne svare på spørsmål du måtte ha!
Er behandlingsmetoden enkel?
Når det gjelder implementering av non-prep veneers, er prosessen mye enklere enn tradisjonelle veneers.
Dette er fordi de fleste ganger er prosessen ikke-invasiv, og det er ikke nødvendig å bedøve munnen.
No-prep veneers kan plasseres direkte på tennene uten midlertidige veneers, men de brukes av og til til å vise hvordan tennene vil se ut før sementeringsprosessen begynner.
Hvis du velger en midlertidig restaurering, vil prosessen foregå over to avtaler, eller – hvis du bruker dem med en gang – vil det kreve kun en økt.
Er behandlingen smertefull?
Dette er en helt smertefri prosess, siden det er lite eller ingen justering på tennene, noe som betyr at du ikke vil føle noen sensetivitet eller smerte etter at prosedyren er over.
Hva koster veneers / skallfasetter?
Den viktigste faktoren som påvirker prisen på skallfasetter er hva slags materiale de er laget av.
Det er tre hovedtyper skallfasetter:
Veneers, kompositt fasetter og non-prep veneers. Hver av disse har sine egne fordeler og ulemper.
Prisen varierer fra kr 2900 på kompositt fasetter, til kr 6900 på porselensfasetter og non-prep skallfasetter
Før du får veneers / skallfasetter:
Tennene og tannkjøttet må være friskt før du får denne behandlingen.
- Tannlegen din bør behandle eventuelle hull, plager eller andre skader/sykdom før skallfasetten plasseres.
- Veneers i porselen er ikke alltid et godt valg for pasienter som gnisser eller presser tennene hardt sammen, fordi de tynne skallfasettene kan sprekke eller knekke.
- Hvis du gnisser tennene eller har problemer med bitt og kjeveledd, bør tannlegen undersøke og hjelpe deg med dette før fasetter limes på.
Selv om tannlegen din fjerner så lite tannemalje som mulig for porselensfasett, kan ikke prosessen angres når emaljen først er fjernet.
Det er en viss mulighet for at de løsner over tid. I så fall kan det være behov for nye.
Som med all tannpleie, diskuter alle forventninger og behandlingsalternativer med tannlegen. Regelmessige tannlegebesøk er viktig og nødvendig for å holde tennene og tannkjøttet sunt.
Finn ut om dette er en behandlingen som passer for deg
Drømmer du om et blendende vakkert smil?
Med skallfasetter kan denne drømmen bli en realitet! Ikke la usikkerhet omkring prosessen holde deg tilbake.
Ved å fylle ut vårt skjema, kan du nå sikre deg en helt gratis konsultasjon. Dette er din sjanse til å få personlig veiledning og svar på alle dine spørsmål fra våre erfarne eksperter.
Finn ut hvordan skallfasetter kan forvandle ditt smil og booste din selvtillit.
Ta det første steget mot ditt drømmesmil i dag – helt uten forpliktelser.
Få din gratis konsultasjon
Konsultasjonen inkluderer følgene punkter hos tannlege:
- Samtale med tannlege
- Klinisk undersøkelse
- Behandlingsforslag
- Kostnad overslag
- Vurdering av dine Helfo rettigheter
Vi anbefaler alle som ønsker veneers/skallfasetter å starte med en konsultasjon for å planlegge behandlingen og få et prisoverslag.
Pris nå kr 0,- (normalt 790)
Utvalgte artikler
Hvorfor velge skallfasetter (veneers)? | 10 fordeler og ulemper
En skallfasett er et tynt, skreddersydd skall laget av porselen eller komposittmateriale, festet på forsiden av en tann. Denne kosmetiske

Composite bonding Norge | Hvorfor velge Edge-bonding?
Hva er edge-bonding? Edge-bonding er en kosmetisk tannprosedyre der tannlegen bruker et hvitt komposittfyllingsmateriale for å reparere eller fylle ut
Alt du trenger å vite om tannbleking hos tannlege
Er det trygt å bleke tennene? Tannbleking er en prosess for å lysne fargen på tennene dine. Dette kan gjøres
Mer å lese
Sjekk ut artikler fra vår blogg

Tramadol: Smertelindring etter tannbehandling
Tramadol brukes ved moderate til sterke smerter etter kirurgiske inngrep som tanntrekking, rotfylling eller større tannkirurgi. Når legemidlet brukes riktig,

Kjeven ut av ledd: Slik gjenopprettes bevegelsen
Kjeven kan gå ut av ledd når kjeveleddet beveger seg for langt frem og ikke klarer å gli tilbake i

Anspent kjeve: Symptomer du ikke bør overse
Anspent kjeve er en svært vanlig plage som kan oppstå når musklene rundt kjeven strammes over tid. Mange merker dette

Hodepine, kvalme, svimmelhet og slitenhet
Hodepine kvalme svimmelhet og slitenhet oppstår ofte samtidig og kan virke både forvirrende og ubehagelig. Mange tenker først på stress

Trigeminusnevralgi: Den intense ansiktssmerten
Trigeminusnevralgi er en svært smertefull tilstand som gir plutselige, lynende smerter i ansiktet. Smerten oppstår langs trigeminusnerven, som styrer følelse

Hodepine Når årsaken sitter i kjeven
Hodepine som stammer fra kjeven er langt vanligere enn mange tror. Muskelspenninger i kjevemuskulaturen, tanngnissing eller feil bitt kan gi