
Resorpsjon er når kroppen bryter ned tannvev – uten smerter i starten. Oppdag det tidlig og spar tannen.
🦠 Ofte symptomfritt
🦷 Kan føre til tanntap
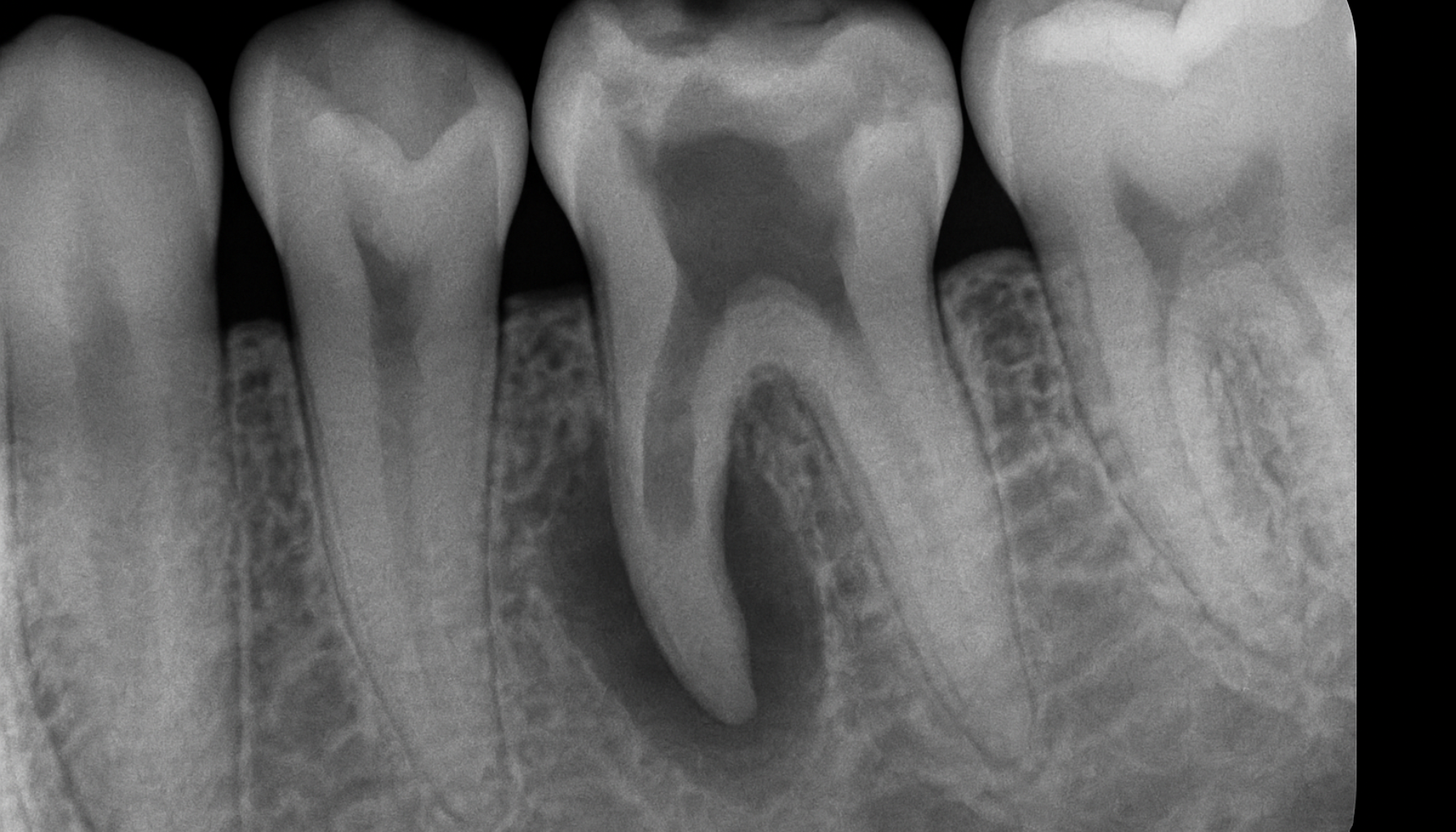
📸 Krever røntgen for diagnose
🩺 Behandling må skje raskt
Hva er tannresorpsjon – og hvorfor skjer det?

Tannresorpsjon er en prosess der kroppens egne celler begynner å bryte ned tannens vev, ofte uten forvarsel.
Det finnes to hovedtyper: intern resorpsjon, som starter inne i tannens nervekammer, og ekstern resorpsjon, som begynner fra utsiden av roten. Tilstanden kan utvikle seg i skjul og skade både rot og tannkrone.
Årsaken til resorpsjon kan variere og er ikke alltid kjent. Det kan utløses av traume, tannregulering, infeksjoner eller trykk fra cyster og svulster. I noen tilfeller skjer det uten åpenbar grunn. Resorpsjon oppdages ofte tilfeldig ved røntgen hos tannlege. Tidlig diagnose er avgjørende for å kunne behandle og redde tannen.
Tegn du bør være oppmerksom på

De fleste tilfeller av tannresorpsjon gir ingen smerter i starten. Derfor oppdages det ofte sent – gjerne når skaden allerede er betydelig.
I noen tilfeller kan du merke misfarging av tannen, økt bevegelighet eller ubehag ved trykk. Uvanlige forandringer i tannkjøttet rundt én enkelt tann bør også tas på alvor.
Dersom du har vært utsatt for tannskader, har hatt tannregulering, eller merker noe som ikke føles normalt, bør du oppsøke tannlege for vurdering. Regelmessige tannkontroller med røntgen er det mest effektive verktøyet for å oppdage resorpsjon tidlig – før den utvikler seg til et alvorlig problem.
Hvordan tannlegen behandler resorpsjon

Behandling av tannresorpsjon avhenger av typen og hvor langt prosessen har kommet. Ved intern resorpsjon kan det være mulig å stoppe utviklingen med en rotfylling, hvor det betente vevet fjernes og hulrommet fylles. Ved ekstern resorpsjon vurderes ofte kirurgisk inngrep for å fjerne det ødelagte vevet rundt roten.
Tid er en kritisk faktor. Jo tidligere problemet oppdages, desto bedre er sjansen for å redde tannen. I avanserte tilfeller der store deler av roten er borte, kan det være nødvendig å trekke tannen. Tannlegen tar røntgen og legger en plan basert på skadeomfang og tannens tilstand.
Kan tannen reddes?

Ja, i mange tilfeller kan tannen reddes – men bare hvis resorpsjonen oppdages tidlig. Når behandlingen kommer i gang før strukturelle skader har oppstått, kan både rot og tannkrone bevares.
Ved intern resorpsjon gir rotfylling ofte gode resultater, mens ekstern resorpsjon krever mer omfattende tiltak og oppfølging. Dersom resorpsjonen har pågått lenge uten behandling, reduseres sjansene for å redde tannen. Da kan tanntap bli eneste løsning.
Derfor er det viktig med regelmessig røntgen og tett oppfølging hos tannlege – særlig hvis du har vært utsatt for skade, har hatt regulering, eller har andre kjente risikofaktorer.
Tannresorpsjon er en lite kjent tilstand som kan utvikle seg uten symptomer. Her er det viktigste du bør vite:
- Resorpsjon betyr at tannens vev brytes ned over tid: Kroppens egne celler kan angripe og bryte ned tannens harde vev, noe som kan føre til tap av rot og støttevev. Tilstanden kan utvikle seg uten smerter og finnes i flere varianter.
- Det finnes både intern og ekstern resorpsjon: Intern resorpsjon starter inne i tannen og sprer seg utover, mens ekstern resorpsjon begynner på utsiden – ofte ved roten. Ekstern resorpsjon er mest vanlig og oppdages som regel via røntgen.
- Vanlige årsaker inkluderer traumer, tannregulering og betennelser: Skader, omfattende tannregulering, kirurgiske inngrep eller kroniske betennelser kan være utløsende faktorer. I mange tilfeller er årsaken ukjent, noe som understreker viktigheten av jevnlige kontroller.
- Det gir ofte ingen symptomer før det er for sent: Siden prosessen ofte skjer smertefritt og langsomt, merkes den sjelden av pasienten. Den oppdages som oftest under rutineundersøkelser hos tannlegen ved hjelp av røntgen.
- Tidlig oppdagelse gir størst sjanse for å redde tannen: Dersom resorpsjon oppdages tidlig, kan behandlingen inkludere kirurgiske inngrep, rotfylling eller andre tiltak for å stanse utviklingen. Ved alvorlig skade må tannen i noen tilfeller fjernes for å beskytte omkringliggende strukturer.
Sammendrag
Resorpsjon av tann er en prosess der tannens vev, særlig roten, gradvis brytes ned av kroppens egne celler.
Det finnes ulike former – både interne og eksterne – og mange merker ingen symptomer før det er for sent. Tilstanden oppdages ofte ved tilfeldige funn hos tannlegen, gjerne gjennom røntgen.
Tidlig diagnose er avgjørende for å kunne redde tannen. Derfor er det viktig med jevnlige kontroller og å ta eventuelle endringer i tannen på alvor. Behandling varierer, men kan omfatte rotfylling, kirurgi eller tanntrekking.
Hvis du bor i en storby som Oslo, kan du også få henvisning til spesialister eller universitetet for videre vurdering. Å kjenne til denne skjulte trusselen kan bety forskjellen på å bevare eller miste tannen.





