Tannundersøkelse | Betydningen av regelmessige sjekker

Artikkelen er skrevet av:

Wuba Kassahun

Erfaren tannlege og grunnlegger av Tannhelse Uten Grenser. Medlem i fagnemda i Oslo Tannlegeforening og kursholder.

Tannundersøkelse | Betydningen av regelmessige sjekker
Tannundersøkelse | Betydningen av regelmessige sjekker

En sunn munn spiller en avgjørende rolle for en livsstil preget av trivsel og velvære, påvirker vår evne til å nyte mat, sikre tilstrekkelig ernæring og har positive innvirkninger på vår generelle helse. En effektiv måte å opprettholde munnhelsen på er gjennom hyppige tannundersøkelser.

I denne artikkelen vil vi utforske betydningen av hyppige besøk til tannlegen, diskutere hvor ofte kan burde sjekke tennene, håndtering av hull, munnhygienetips, hva en tannlegeundersøkelse består av og etterbehandling av besøket.

Hvorfor man bør dra på tannundersøkelse

Årlige tannsjekker er mer enn bare en rutinemessig praksis; de representerer en investering i både generell helse og økonomi. Hyppige besøk hos tannlegen gir muligheten til å oppdage og behandle tannproblemer på et tidlig stadium, før de utvikler seg til mer alvorlige tilstander. Forebygging er nøkkelen for å unngå smertefulle og kostbare tannbehandlinger.

1. Tidlig oppdagelse av problemer

Under en tannlegeundersøkelse kan potensielle problemer som tannråte og tannkjøttsykdommer identifiseres på et tidlig stadium. Dette gir muligheten til å gripe inn før problemene eskalerer, og dermed unngå mer omfattende behandlinger. Derfor er det avgjørende å avlegge tannlegebesøk i rett tid, uten unødvendig forsinkelse.

2. Bevare naturlige tenner

Regelmessige tannsjekker bidrar til å bevare naturlige tenner. Tidlig behandling av tannråte eller tannskader kan forhindre behovet for ekstraksjon eller omfattende restaureringer.

3. Forebygging av tannkjøttsykdommer

Tannkjøttsykdommer, som gingivitt og periodontitt, kan føre til tap av tenner og har også en sammenheng med andre helseproblemer som hjerte- og karsykdommer. Hyppige tannundersøkelser kan bidra til å forebygge og kontrollere tilstanden på tannkjøttet, og dermed være gunstig for din generelle tannhelse.

Tannkjøtt som blør på grunn av gingivitt


Hvor ofte bør man oppsøke tannlege?

Mange eksperter anbefaler at man besøker tannlege minst to ganger i året. Noen tar en årlig sjekk. Dette sikrer at tannlege eller tannpleier kan overvåke endringer i munnhelsen og iverksette nødvendige tiltak i rett tid. Besøksfrekvensen kan imidlertid variere avhengig av individuelle behov. Personer med spesifikke munnhelseproblemer kan ha behov for hyppigere tilsyn, spesielt de som lider av visse sykdommer. Rådfør deg ved kontroll for anbefalinger angående ditt individuelle behov.

En tannlege eller tannpleier vil også fjerne oppsamlet tannstein siden forrige besøk og utføre annen rengjøring, noe som vil være til fordel for deg. Du vil også få innsikt i tilstanden til tannkjøttet ditt og risikoen for utvikling av sykdommer, samt motta råd om etterfølgende tiltak.

Hva gjør du hvis du har hull i tennene?

Hull i tennene er vanlige, men de må behandles så snart som mulig for å forhindre ytterligere skade. Ved smerte, følsomhet eller synlige tegn på karies, er det viktig å kontakte tannlegen umiddelbart. Behandlingsalternativer kan omfatte fyllinger, kroner eller rotbehandlinger, avhengig av alvorlighetsgraden av hullet.

Under en undersøkelse kan man avdekke hull og andre problemer


Hvordan opprettholde god munnhygiene

Munnhygiene starter hjemme og krever en kontinuerlig innsats. Her er noen tips for å opprettholde en sunn munn:

  1. Regelmessig tannpuss:
    Børst tennene grundig minst to ganger daglig, helst om morgenen og før sengetid.

  2. Bruk av tanntråd:
    Bruk tanntråd daglig for å fjerne plakk og matrester mellom tennene, steder hvor tannbørsten ikke når. Vær grundig i denne prosessen.

    Regelmessig bruk at tanntråd er viktig

  3. Munnvask:
    Skyll munnen med antibakterielt munnvann for å bekjempe bakterier og opprettholde frisk pust. Rådfør deg med tannlegen om nødvendigheten av munnskyll, da ikke alle trenger dette.

  4. Balansert kosthold og hydrering:
    Innta et balansert kosthold rikt på frukt, grønnsaker og meieriprodukter. Drikk rikelig med vann for å opprettholde fuktighet i munnen.

  5. Unngå tobakk og begrens alkoholinntak:
    Tobakksbruk og overdreven alkoholinntak er risikofaktorer for tann- og tannkjøttsykdommer.


Hva Skjer Under en Tannlegeundersøkelse?

Under en vanlig undersøkelse hos tannlegen utføres flere viktige trinn:

  1. Undersøkelse av tenner og tannkjøtt:
    Tannlegen inspiserer tenner, sjekker for hull, plakk og tannkjøttsykdommer.

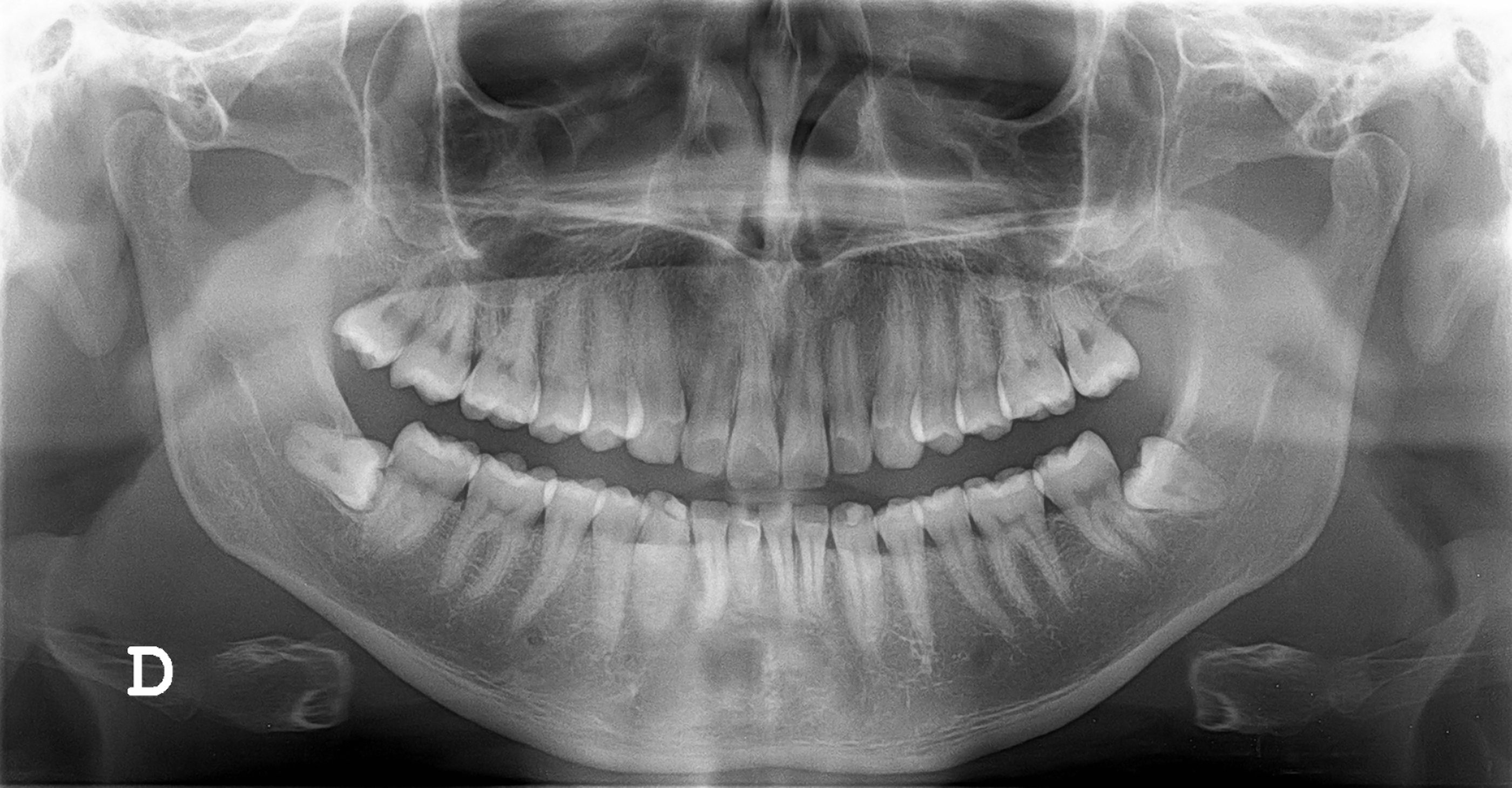
  2. Røntgenbilder:
    Ved behov tas røntgenbilder for å avdekke skjulte problemer som ikke er synlige ved en visuell undersøkelse.

    På en undersøkelse blir det tatt røntgenbilder

     

  3. Rengjøring og fjerning av plakk og tannstein:
    Når man er på en undersøkelse hos tannlege eller tannpleier så vil de fjerne plakk og tannstein, slik at munnen din er renere enn når du kom. Plakk legger seg på tannflaten og må fjernes regelmessig. Hvis man ikke gjør det, kan det bli til tannstein, et hardt belegg med mørk farge, som er umulig å fjerne hjemme.

    Merk at noen tilfeller kan være for alvorlige og tidskrevende å ta på en vanlig kontroll. Du kan bli henvist til en hygenist for behandling av overflødig plakk.

  4. Instruksjoner og råd:
    Du vil få råd om riktig tannpuss, bruk av tanntråd og andre individuelle munnhygienepraksiser for å ta vare på tennene dine. Produkter kan anbefales, og grundig tilbakemelding kan gis.


Etter tannlegebesøket

Munnhygiene handler ikke bare om tannlegens kontor, men også om hva du gjør etter besøket:

  1. Følg tannlegens råd:
    Ta hensyn til eventuelle råd eller retningslinjer gitt av tannlegen for å opprettholde munnhygienen. Det du gjør etter undersøkelsen er like viktig som å dra på en.

  2. Planlegg neste avtale:
    Avtal din neste tannundersøkelse for å sikre at du holder deg på toppen av munnhelsen din. Unngå å glemme dette viktige punktet og plannlegg neste kontroll, fortrinnsvis to ganger i året.

  3. Oppretthold gode munnhygienerutiner:
    Fortsett å følge grundige munnhygienerutiner hjemme for å forhindre utvikling av problemer. Dette er den fundamentale delen av egenomsorg for tennene dine.

  4. Følg opp på anbefalte behandlinger:
    Dersom tannlegen har anbefalt behandlinger som fyllinger eller rotbehandlinger, følg opp med de planlagte behandlingene for å sikre fullstendig helbredelse.


Økonomiske fordeler av god tannhelse

Å opprettholde god munnhelse kan ikke bare redusere risikoen for dyre tannbehandlinger, men kan også føre til betydelige besparelser på lang sikt. Forebygging er nøkkelen for å unngå kostbare inngrep som rotkanaler eller tannimplantater. Undersøkelsen vil hjelpe deg å ta bedre vare på tennene og avdekke hva du bør gøre for å oppnå en sunn munn. Ved å investere i regelmessige tannundersøkelser og vedlikeholde sunne munnhygienerutiner, kan du spare betydelige summer på tannlegekostnader over tid.

I konklusjonen er regelmessige tannundersøkelser ikke bare en nødvendig plikt, men en betydningsfull investering i din generelle helse og økonomi. Å prioritere munnhelsen din gjennom regelmessige besøk hos tannlegen, ved å følge gode hjemmepleierutiner og ta til seg rådene fra tannlegen, kan bidra til å sikre et liv med sunne tenner og et smil som varer livet ut.

Bestill tannundersøkelse i dag

Bestill tannlegeundersøkelse hos Godtanna Løten Tannlegesenter og gjør din framtidige deg en tjeneste. Vi tilbyr også planlagte oppfølgingstimer for å hjelpe deg med å opprettholde tannhelsen din.

Bestill din time her.

Utvalgte artikler

Hei! Denne siden bruker Cookies! Noen cookies brukes til statistikk, og andre er lagt inn av tredjepartstjenester. Ved a klikke \\'Godta\\' aksepterer du bruk av cookies.   Les mer