
Attrisjon er en type tannslitasje som skjer når tannflater gnis mot hverandre, som ved biting og gnissing over tid. Denne formen for slitasje er mekanisk, og skyldes ikke ytre faktorer som syre eller kosthold, men heller kontakt mellom tennene selv – ofte uten at du er klar over det før skaden er merkbar.
Selv små daglige bevegelser i kjeven kan etter hvert føre til at emaljen svekkes og tennene blir kortere, flate og mer sensitive. Hvis dette ikke behandles tidlig, kan det føre til behov for omfattende restaurering av tannstrukturen.
Hva er attrisjon og hvordan skiller det seg fra erosjon?
Attrisjon er mekanisk slitasje av tann mot tann – og er vanligst hos personer som gnisser eller presser tennene, spesielt om natten. Det kan ramme både fortenner og jeksler, og gir ofte flate og korte tannkanter. Den største utfordringen er at mange ikke merker det før det allerede har ført til skade.
Erosjon, derimot, skyldes syrepåvirkning – enten fra mat og drikke eller fra magesyre. I motsetning til attrisjon er det altså ikke direkte kontakt med andre tenner som er problemet, men kjemisk oppløsning av emaljen. Tannleger skiller disse ved klinisk undersøkelse og spør om vaner, kosthold og symptomer.
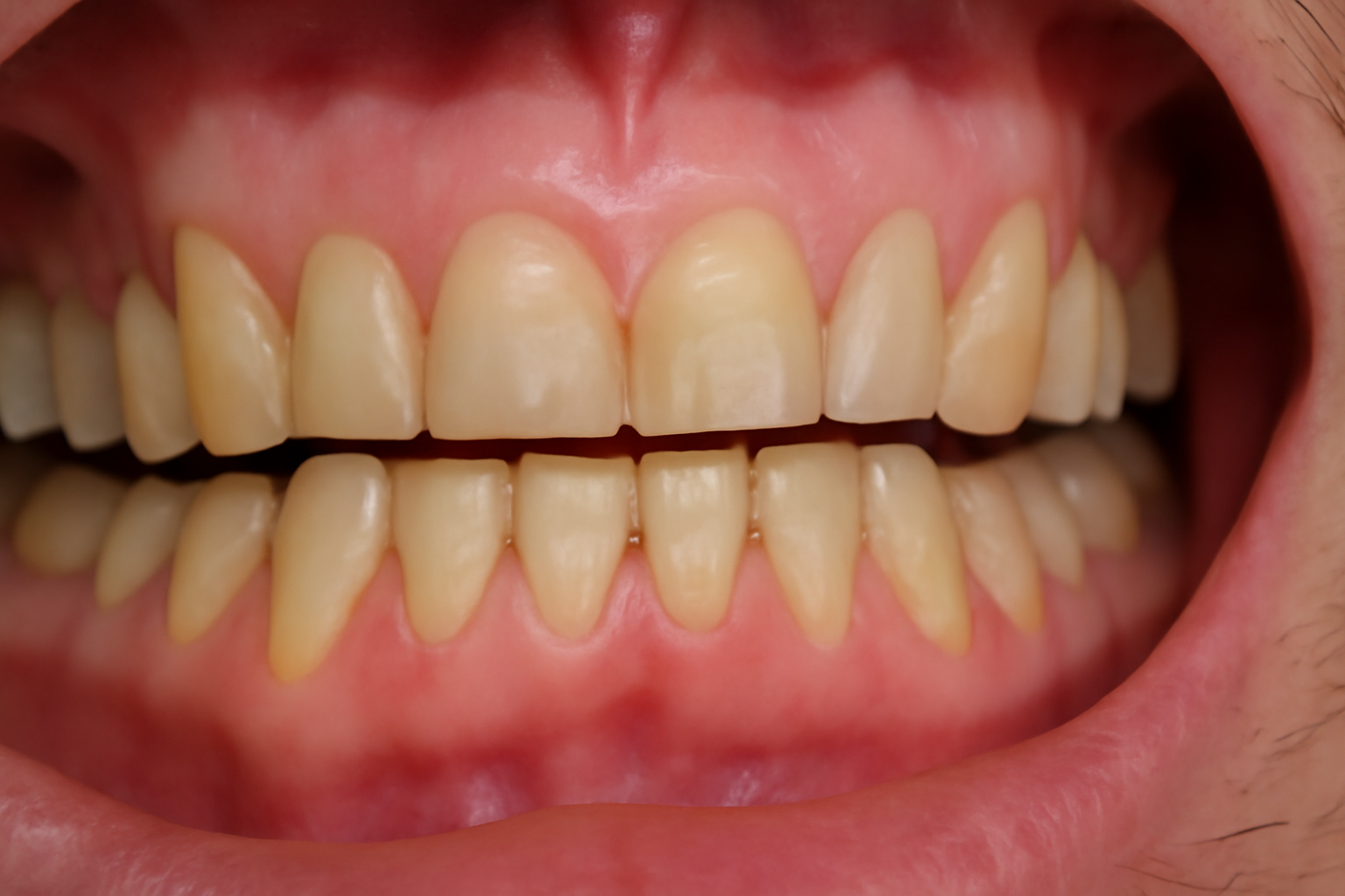
Tegn på at tennene dine slites ned

De første tegnene på attrisjon kan være så subtile at du ikke legger merke til dem. Du kan føle litt ising eller merke at tennene virker kortere enn før. Over tid kan slitasjen gjøre tennene mer følsomme for temperatur og trykk, og i alvorlige tilfeller kan det oppstå sprekker eller fliser.
Et annet tydelig tegn er at tannoverflatene blir flate, blanke og uten de naturlige konturene du vanligvis har. Hvis du har en partner som hører deg gnisse tenner om natten, er det også et viktig faresignal. Tannlegen kan oppdage dette ved rutineundersøkelse lenge før du merker noe selv.
Vanlige årsaker til attrisjon
Den vanligste årsaken er bruksisme – ubevisst tanngnissing eller tannpressing, ofte under søvn. Stress er en kjent trigger, og mange med bruksisme merker det først når skadene allerede har oppstått. Feilaktig bitt og dårlig tannstilling kan også føre til unaturlig belastning og påfølgende slitasje.
Alder spiller også en rolle, siden naturlig slitasje over tid kan føre til gradvis tap av emalje. I tillegg er tidligere fyllinger eller kroner som ikke passer optimalt, mulige bidragsytere til økt tann-mot-tann-kontakt og dermed attrisjon.
Behandling og forebygging av tannslitasje

Tidlig oppdagelse er nøkkelen for å bremse prosessen. Tannleger anbefaler ofte en individuell bittskinne som brukes om natten for å beskytte tennene. Denne hindrer direkte kontakt mellom tannflatene og reduserer trykket ved gnissing og pressing.
I tilfeller der tennene allerede er skadet, kan restaurering med komposittfyllinger, kroner eller skallfasetter være nødvendig. Det er også viktig å identifisere og behandle årsaken – for eksempel stressreduksjon ved bruksisme, eller korrigering av bittet ved hjelp av regulering eller tilpasning av fyllinger.
Attrisjon kan være en gradvis prosess som ofte overses, men dens konsekvenser kan ha stor betydning for tannhelsen. Det er derfor viktig å være oppmerksom på tegnene, årsakene og hvordan man kan forebygge dette problemet.
- Tegn på attrisjon:
- Flate eller slitte tannflater, spesielt på tyggeoverflatene.
- Økende tannfølsomhet på grunn av eksponert dentin.
- Endret bittfunksjon som påvirker tygging og komfort.
- Vanlige årsaker:
- Kronisk tanngnissing, ofte forårsaket av stress eller søvnforstyrrelser.
- Overdreven tyggeaktivitet, som tygging av harde matrer eller objekter.
- Aldring, som fører til naturlig slitasje av tennene.
- Forebyggende tiltak:
- Bruk av bittskinner for å beskytte tennene under søvn.
- Regelmessige tannlegebesøk for tidlig oppdagelse.
- Unngå overdreven kontakt med harde eller syreholdige substanser.
Ved å ta proaktive grep kan du beskytte tennene mot unødig slitasje og bevare et sunt smil.
Sammendrag
Attrisjon innebærer nedsliping av tannsubstans ved kontinuerlig tannkontakt, og kan forbli umerket inntil pasienten utvikler følsomhet, flate tyggeflater og estetiske endringer.
Patologisk attrisjon krever tiltak som bittskinner, korreksjon av bitt og restaurerende behandling med kompositt eller kroner.
Regelmessig overvåking hos tannlegen og gode vaner som å unngå sure drikker og kontroll av tanngnissing er avgjørende for å begrense tap av tannsubstans. Ved tidlig intervensjon kan man bevare tannhelse og funksjon over tid.





