
All-on-4 er en moderne og effektiv metode som gir pasienter med tannløshet en fast og naturlig tannrekke ved hjelp av fire implantater. Løsningen er utviklet for å gjenopprette både funksjon og estetikk – slik at du kan spise, snakke og smile trygt igjen. Behandlingen gir en permanent løsning uten behov for løse proteser og utføres av erfarne spesialister innen tannimplantatbehandling.
🦷 Fast løsning for hele tannrekken
💪 Kortere behandlingstid
💎 Naturlig og estetisk resultat
👩⚕️ Utføres av spesialister
💡 Visste du at?
🦷 All-on-4-metoden ble utviklet av Paulo Maló i samarbeid med Nobel Biocare – og brukes over hele verden.
💪 De fleste pasienter får nye, faste tenner i løpet av én dag etter implantatoperasjonen.
🍎 Etter fire måneder er implantatene fullt integrert i kjevebenet og klare for langvarig bruk.
😄 Metoden passer for de fleste som mangler tenner eller ønsker en varig erstatning for proteser.
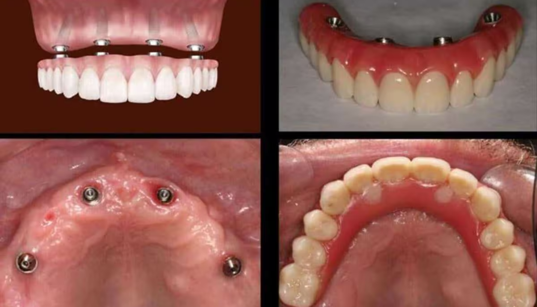
Hva er All-on-4-metoden?
All-on-4 er en implantatbasert behandling hvor fire implantater settes strategisk i kjeven for å støtte en hel tannbro. To implantater plasseres vertikalt i front, og to skrått i bakre del av kjeven. Denne vinklingen gir ekstra stabilitet og gjør det mulig å feste en fast tannrekke uten behov for beinoppbygging. Resultatet er faste tenner som ser og føles helt naturlige.
Behandlingen er ideell for pasienter med tannløshet eller alvorlig manglende tenner. Selve operasjonen tar vanligvis noen timer, og mange pasienter kan reise hjem med midlertidige tenner samme dag. Etter noen måneder byttes de midlertidige tennene ut med en permanent løsning – laget for å vare i mange år med riktig etterbehandling og vedlikehold.
Relatert lesing
Tannrotbetennelse – 6 symptomer og behandling
Infeksjoner i tannroten kan føre til tap av tenner – lær hvordan rask behandling reduserer risiko før implantatkirurgi.
Hvem passer behandlingen for?

All-on-4 tannimplantat passer for pasienter som mangler alle eller de fleste tennene i én eller begge kjever. Den egner seg spesielt godt for dem som tidligere har brukt proteser og ønsker en mer komfortabel og permanent løsning. Pasienter som har mistet tenner på grunn av periodontitt, skade eller alderdom, kan vanligvis gjennomføre behandlingen uten behov for omfattende kirurgi.
Selv personer med redusert kjeveben kan ofte få All-on-4, ettersom implantatene settes skrått og utnytter eksisterende benstruktur. Før inngrepet utføres en grundig konsultasjon med røntgen og 3D-bilder for å sikre riktig planlegging. Behandlingen er trygg, og mange pasienter beskriver prosessen som mindre krevende enn forventet. Ved behov tilbys bedøvelse eller sedasjon for maksimal komfort.
Relatert lesing
Slik forebygger du mandelsteiner
God munnhygiene etter implantatkirurgi reduserer risiko for bakterieoppblomstring og ubehag i svelg og mandler.
Fordeler med All-on-4

Metoden har revolusjonert tannimplantatbehandling ved å gjøre det mulig å få nye tenner raskt, trygt og med naturlig resultat. Her er noen av de største fordelene:
1. Fast løsning på én dag: Mange pasienter får nye tennene samme dag som operasjonen. Du slipper lange ventetider og kan gjenoppta normal spising på kort tid.
2. Kortere behandlingstid: Hele prosessen, fra første konsultasjon til ferdig resultat, kan være fullført på under fire måneder.
3. Ingen behov for beinoppbygging: Den unike vinklingen på implantatene gjør det mulig å erstatte tennene uten ekstra kirurgiske inngrep.
4. Naturlig følelse: Tannbroen sitter fast, ser ut som naturlige tenner og gir full tyggefunksjon.
5. Økt livskvalitet: Pasienter rapporterer bedre selvtillit, lettere spising og forbedret tale.
All-on-4 har blitt den foretrukne løsningen for mange som ønsker å erstatte manglende tenner uten å bruke tradisjonelle proteser. Den stabile konstruksjonen gjør at du kan spise og le naturlig uten frykt for at noe løsner.
Relatert lesing
Drøvel: Funksjon, problemer og behandlinger du bør kjenne til
Etter kirurgiske inngrep i munnen kan drøvelen påvirkes – les mer om hvordan du unngår irritasjon og hevelse.
Etterbehandling og vedlikehold

Etter All-on-4-behandling får du instruksjoner for god munnhygiene og oppfølging. De første ukene bør du unngå hard mat og følge anbefalt kostplan for å beskytte implantatene. Regelmessige kontroller sikrer at implantatene gror riktig i kjevebenet, og at tannbroen sitter stabilt. Når alt er grodd, kan du spise normalt – inkludert sprø og faste matvarer – uten problemer.
Langsiktig suksess avhenger av godt vedlikehold. Børst tennene grundig to ganger daglig med myk børste og bruk mellomromsbørster. Unngå røyking og oppsøk tannlege jevnlig for profesjonell rens. De fleste pasienter opplever at løsningen varer i mange år og føles som egne tenner, så lenge man følger opp regelmessig.





